Your teeth can get damaged from decay or everyday wear, which can impact both your oral health and confidence. With dental fillings, you can restore the structure and function of affected teeth, preventing further damage.
At Klinik Pergigian Dens Care, we offer high-quality fillings that match your natural teeth for a seamless look. Our skilled team ensures a comfortable experience and durable, long-lasting results.
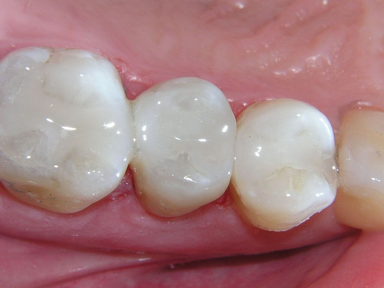
Our team carefully assesses your teeth and bite to determine the most suitable dental filling, ensuring a comfortable fit and natural-looking result.
These tooth-coloured fillings are made from a blend of resin and glass materials, allowing them to bond firmly to the tooth while maintaining a natural look.
Ceramic fillings are crafted from porcelain, offering a strong and aesthetically pleasing solution that blends seamlessly with your surrounding teeth, making them ideal for visible areas.
Also known as silver fillings, amalgam fillings are made from a blend of metals such as silver, mercury, tin, and copper. They are known for their strength and durability, making them suitable for restoring back teeth.
You may need a dental filling if you have any of these symptoms:
Tooth sensitivity or pain due to temperature
Visible holes, dark spots, or damage on a tooth
A cracked, worn, or weakened tooth
A filling that has fallen out or become damaged
Treating decay early helps prevent more serious dental problems, such as root canal treatment or crowns.
Our dentist will examine your teeth to identify areas affected by decay or damage. X-rays may be taken to assess the extent of the problem.
The affected tooth will be gently cleaned, and any decayed portion removed to prepare it for the filling.
A tooth-coloured or suitable filling material is carefully placed and shaped. The filling is then hardened and polished for a natural look and comfortable bite.
Your dentist will check your bite to ensure the filling feels comfortable and does not interfere with chewing or speaking.
You’ll receive advice on caring for your filling and maintaining good oral hygiene. Mild sensitivity may occur initially, but this usually settles quickly.









































































Klinik Pergigian Dens Care provides dental care that’s both professional and approachable. By keeping you informed and at ease, we help you achieve lasting oral health and a smile you can be proud of.
We prioritise your comfort and wellbeing in every treatment, ensuring a stress-free dental experience.
Our clinic uses advanced dental equipment for precise, effective, and efficient care.
With a calm clinic setting, we ensure every visit is comfortable for patients.
Our experienced team provides reliable, professional care tailored to your unique dental needs.
You will need a dental filling if you experience sensitive teeth, pain while chewing, if there are visible holes or dark spots on your teeth, or chipped surfaces. On the other hand, there are some cavities that show no symptoms. Regular dental check-ups are necessary to diagnose issues early.
If you delay treatment, you will allow decay to spread deeper and possibly lead to an infection, tooth loss, or needing root canal treatment. The best course of action is to treat cavities early when the damage is minimal.
Dental fillings shouldn't hurt, as most procedures are done under local anesthesia. During the process, you may feel pressure or mild discomfort. You might feel some sensitivity for a few days after, especially with deeper cavities.
It depends on the type of fillings you have. You can usually eat immediately if it is done with composite resin. For amalgam fillings, you should wait a few hours for the material to fully harden. You should also avoid chewing on the filled side until numbness wears off so you don't bite your tongue or cheek.
Dental fillings can become loose if there is decay around the edges, if you grind your teeth, or by biting into hard foods. If your filling feels loose or falls out, contact your dentist immediately to avoid further damage.
Yes, they can! Old dental fillings can be safely removed and replaced. During your regular check-up, your dentist will assess whether it's time to update your dental filling.
Yes, your dental filling can match your natural tooth colour if you choose a composite or porcelain filling. For amalgam fillings, their metallic appearance will be visible but are very durable.
Restore your smile and protect your teeth with high-quality dental fillings. At Klinik Pergigian Dens Care, our experienced team uses durable, natural-looking materials to repair damaged teeth and restore function. Contact us today to book a consultation and find the right filling solution for your smile.
Tue – Fri:
9:30AM – 9:30PM
Sat – Mon:
9:30AM – 5:30PM