Pernahkah anda perasan tompok putih atau kesan seperti kapur pada gigi anda dan tertanya-tanya apa maksudnya? Mungkin anda sedang memberus gigi dan tiba-tiba melihat deposit yang pelik berhampiran garis gusi anda. Walaupun perubahan ini boleh membimbangkan, kebanyakannya mempunyai penjelasan yang mudah. Ada yang tidak berbahaya, manakala yang lain mungkin menunjukkan tanda awal kerosakan gigi atau masalah pergigian lain.
Memahami punca tompok putih ini boleh membantu anda membuat keputusan sama ada perlu bertindak atau hanya memantaunya.
Punca Biasa yang Menyebabkan Tompok Putih pada Gigi
Tidak semua tompok putih pada gigi adalah sama. Sesetengahnya hanyalah masalah kosmetik, sementara yang lain mungkin petunjuk bahawa enamel gigi anda semakin lemah. Berikut adalah beberapa punca biasa perubahan ini.
Fluorosis Gigi
Fluorida adalah penting untuk gigi yang kuat, tetapi terlalu banyak menggunakannya—terutamanya semasa kanak-kanak—boleh menyebabkan fluorosis gigi. Keadaan ini menyebabkan jalur putih kapur atau sedikit kekuningan pada enamel. Ia biasanya berlaku apabila seorang kanak-kanak mengambil terlalu banyak fluorida semasa gigi mereka sedang berkembang.
Fluorosis umumnya tidak berbahaya dan tidak menjejaskan fungsi gigi, tetapi boleh menjadi kebimbangan kosmetik bagi sesetengah orang. Jika anda mengalami fluorosis ringan, berita baiknya ialah ia tidak akan semakin teruk dari masa ke masa, dan rawatan seperti pemutihan gigi atau pemadatan boleh meningkatkan penampilannya.
Hipoplasia Enamel

Berbeza dengan fluorosis, hipoplasia enamel berlaku apabila gigi tidak berkembang dengan betul pada peringkat awal. Ini boleh berlaku disebabkan pemakanan yang buruk, penyakit semasa kanak-kanak, atau faktor genetik.
Individu dengan hipoplasia sering mempunyai enamel yang lebih nipis, menjadikan gigi mereka lebih mudah terdedah kepada karies dan kepekaan. Tompok putih yang disebabkan oleh keadaan ini biasanya lebih ketara dan mungkin terasa kasar atau berlekuk. Jika anda mengesyaki hipoplasia enamel, doktor gigi anda mungkin akan mengesyorkan rawatan fluorida atau sealant gigi untuk melindungi gigi anda.
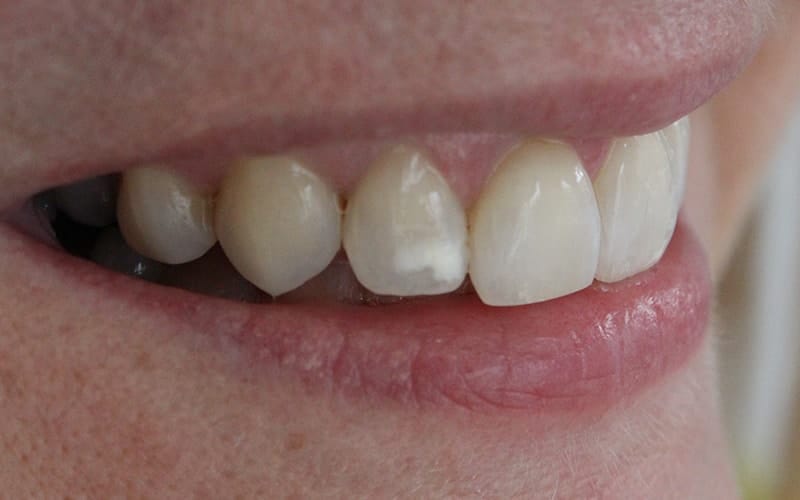
Demineralisasi
Apabila tompok putih muncul secara tiba-tiba dan terasa licin, ia mungkin tanda demineralisasi—peringkat awal kerosakan gigi. Ini berlaku apabila bakteria penghasil asid mula merosakkan enamel. Ia biasa berlaku pada individu yang tidak memberus gigi dengan betul, makan banyak gula, atau memakai pendakap gigi (kerana plak boleh terkumpul di sekitar bracket).
Pada peringkat ini, kerosakan masih boleh dipulihkan dengan rawatan fluorida dan penjagaan mulut yang lebih baik. Namun, jika dibiarkan tanpa rawatan, tompok putih tersebut boleh menjadi coklat, menandakan bahawa karies telah terbentuk.
Penumpukan Plak dan Karang Gigi

Jika tompok putih pada gigi anda tebal, melekit, atau kasar, penumpukan plak mungkin menjadi penyebabnya. Plak adalah lapisan bakteria dan zarah makanan yang boleh mengeras menjadi karang gigi jika tidak dibersihkan.
Karang gigi cenderung terbentuk di sepanjang garis gusi dan boleh muncul putih, kuning, atau bahkan coklat. Berbeza dengan plak, yang boleh dibersihkan dengan memberus gigi, karang gigi perlu dibuang oleh doktor gigi secara profesional. Jika tidak dirawat, ia boleh menyebabkan penyakit gusi.
Pernafasan Melalui Mulut atau Mulut Kering
Tahukah anda bahawa bernafas melalui mulut semasa tidur atau mengalami mulut kering kronik boleh menyebabkan tompok putih? Air liur memainkan peranan penting dalam memastikan gigi sihat dengan membasuh bakteria dan asid. Apabila pengeluaran air liur berkurangan—akibat ubat-ubatan, alahan, atau keadaan seperti apnea tidur—gigi anda boleh mengalami tompok putih kapur.
Jika anda melihat tompok putih pada waktu pagi yang pudar sepanjang hari, pernafasan melalui mulut mungkin menjadi penyebabnya. Menjaga hidrasi dan menggunakan pelembap udara semasa tidur boleh membantu.
Bila Anda Perlu Bimbang?
Walaupun banyak tompok putih adalah tidak berbahaya, sesetengahnya memerlukan perhatian. Anda perlu berjumpa doktor gigi jika:
- Tompok putih tidak hilang walaupun selepas memberus gigi.
- Gigi terasa kasar, sensitif, atau sakit.
- Tompok tersebut semakin merebak atau berubah menjadi coklat.
- Gusi anda meradang atau berdarah.
Pengesanan awal boleh membuat perbezaan besar, terutamanya jika tompok putih disebabkan oleh demineralisasi (yang boleh menjadi karies dewasa) atau penumpukan karang gigi.
Cara Merawat dan Mencegah Tompok Putih pada Gigi
Rawatan terbaik bergantung kepada punca tompok putih tersebut. Berikut adalah beberapa pilihan:
Rawatan Fluorida dan Remineralisasi
Jika tompok putih disebabkan oleh awal kerosakan gigi, rawatan fluorida boleh membantu mengembalikan mineral pada enamel dan mencegah pembentukan kaviti. Ini termasuk pasta gigi berfluorida, ubat kumur berfluorida, atau aplikasi fluorida profesional di klinik pergigian.
Pembersihan Pergigian Profesional
Untuk tompok putih yang disebabkan oleh penumpukan plak dan karang gigi, pembersihan profesional adalah penyelesaian terbaik. Doktor gigi menggunakan alat khas untuk menghilangkan deposit keras yang tidak dapat dihapuskan hanya dengan memberus.
Produk Penguat Enamel
Sesetengah orang mendapat manfaat daripada rawatan fosfat kalsium yang membantu mengembalikan mineral pada enamel yang lemah. Menghindari makanan berasid dan bergula juga boleh melindungi gigi daripada kerosakan lebih lanjut.
Cek Tompok Putih Pada Gigi Di Klinik Pergigian Dens Care

Seiring usia meningkat, penjagaan gigi menjadi lebih penting. Karies mungkin kelihatan sukar dielakkan, tetapi dengan penjagaan yang betul, anda boleh mengekalkan gigi yang sihat dan bebas karies. Berus gigi, gunakan flos, lawati doktor gigi secara berkala, dan buat pilihan bijak dalam pemakanan serta gaya hidup untuk melindungi senyuman anda selama bertahun-tahun. Lagipun, tidak pernah terlambat untuk memberikan gigi anda penjagaan yang sepatutnya!