Gigi retak mungkin rasa seperti kecemasan pergigian, dan dalam banyak kes, ia memang boleh menjadi kecemasan. Tetapi ada berita baik: mungkin gigi yang retak masih boleh diselamatkan.
Sama ada ia disebabkan oleh menggigit sesuatu yang keras, trauma, atau bahkan kehausan akibat bertahun-tahun mengunyah, gigi yang retak masih boleh diuruskan—jika dikesan lebih awal. Jadi, apa yang berlaku apabila gigi anda retak, dan adakah ia boleh dibaiki? Mari kita perincikan.
Jenis-Jenis Gigi Retak
Sebelum kita membincangkan tentang apakah gigi yang retak boleh diselamatkan, penting untuk memahami jenis-jenis retakan yang boleh berlaku pada gigi anda. Tidak semua retakan adalah sama, dan lokasi, kedalaman, serta keparahan retakan akan mempengaruhi sama ada ia boleh diselamatkan.
Garis Kecil: Ini adalah retakan kecil yang hanya menjejaskan enamel (lapisan luar gigi anda). Garis kecil lebih biasa berlaku seiring bertambahnya usia dan biasanya tidak serius—ia tidak memerlukan rawatan.
Puncak Retak: Ini berlaku apabila sebahagian permukaan pengunyah gigi terputus. Bahagian gigi yang lain kekal utuh, dan crown biasanya mencukupi untuk membaikinya.
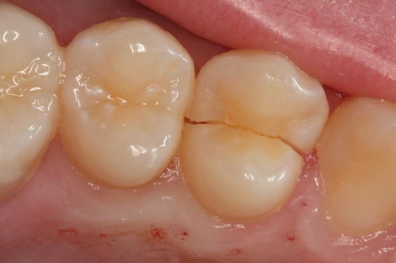
Gigi Retak Sederhana: Retakan yang memanjang secara menegak tetapi tidak memisahkan gigi menjadi bahagian. Jenis ini agak serius, dan mungkin memerlukan rawatan saluran akar atau crown.
Gigi Terpisah: Ini adalah jenis retakan yang paling serius, di mana gigi sebenarnya terbelah kepada dua atau lebih bahagian. Pada tahap ini, menyelamatkan gigi biasanya tidak lagi mungkin.
Fraktur Akar: Retakan yang bermula di akar gigi dan merebak ke atas. Retakan jenis ini sering tidak disedari sehinggalah ia menyebabkan sakit jangkitan atau komplikasi lain.
Semakin serius retakan, semakin sukar untuk menyelamatkan gigi tanpa campur tangan yang signifikan. Tetapi jangan risau—doktor gigi anda dapat menilai keadaan dan mengesyorkan tindakan terbaik.
Tanda-Tanda Anda Mungkin Mempunyai Gigi Retak
Bagaimana anda tahu jika anda mempunyai gigi retak? Tanda-tanda mungkin agak sukar dikesan, kerana ia tidak selalu jelas. Namun, berikut adalah beberapa perkara yang perlu diperhatikan:
Sakit Semasa Mengunyah: Ini adalah tanda yang biasa. Anda mungkin merasa sakit tajam secara tiba-tiba apabila menggigit, terutamanya pada makanan atau permukaan tertentu.
Sensitiviti Suhu: Gigi retak boleh menyebabkan ketidakselesaan apabila makan atau minum makanan dan minuman panas atau sejuk.
Pembengkakan Gusi: Kadang-kadang, gigi retak menyebabkan kerengsaan di sekitar kawasan gusi, menyebabkan pembengkakan. Ini juga boleh menandakan jangkitan atau abses yang terbentuk di bawahnya.
Sakit Tumpul dan Berkala: Berbeza dengan sakit yang berterusan akibat rongga atau kerosakan gigi, sakit dari gigi yang retak boleh datang dan pergi, menjadikannya lebih sukar untuk dikenalpasti.
Bolehkah Gigi Retak Diselamatkan?
Bolehkah gigi retak diselamatkan? Jawapannya bergantung pada jenis retakan, lokasi retakan, dan seberapa cepat anda mendapatkan rawatan.
Jika anda mengesan retakan pada peringkat awal, ada kemungkinan besar doktor gigi anda dapat membaikinya. Retakan yang hanya menjejaskan permukaan gigi biasanya boleh dibaiki dengan bahan pengikat atau mahkota gigi.
Namun, untuk retakan yang lebih serius, seperti yang mencapai akar gigi atau memecahkan gigi menjadi dua, pilihan menjadi lebih terhad. Rawatan saluran akar mungkin diperlukan jika retakan menjejaskan pulpa gigi (tisu lembut di dalam gigi), tetapi dalam beberapa kes, gigi mungkin tidak dapat diselamatkan dan perlu dicabut.
Rawatan untuk Gigi Retak
Pilihan rawatan untuk gigi retak bergantung pada tahap kerosakan dan lokasi retakan. Lebih awal kerosakan dikesan, lebih besar peluang untuk menyelamatkan gigi dengan prosedur yang kurang invasif. Berikut adalah beberapa rawatan utama untuk gigi retak serta bagaimana ia membantu memulihkan fungsi dan penampilan gigi.
Tampalan Gigi
Kesesuaian Rawatan: Rawatan ini sesuai untuk retakan kecil atau serpihan ringan yang biasanya berpunca daripada trauma atau kehausan gigi.
Untuk keretakan kecil yang hanya menjejaskan lapisan luar gigi, tampalan gigi adalah salah satu pilihan rawatan paling mudah dan cepat. Proses ini melibatkan doktor gigi menyapu resin berwarna gigi pada retakan, membentuknya agar sepadan dengan bentuk semula jadi gigi, dan mengeraskannya dengan cahaya khas.
Tampalan gigi tidak memerlukan pemotongan struktur gigi yang banyak, menjadikannya rawatan yang bersifat minimum invasif. Prosedur ini juga boleh diselesaikan dalam satu sesi tanpa memerlukan bius.
Crown Gigi
Kesesuaian Rawatan: Rawatan ini sesuai untuk retakan sederhana, terutamanya yang berlaku pada permukaan kunyah atau melibatkan sebahagian besar gigi.
Crown gigi ialah penutup keseluruhan gigi, memberikan perlindungan dan memulihkan fungsinya. Sebelum pemasangan, doktor gigi akan membuang bahagian gigi yang rosak atau mereput sebelum meletakkan crown pada struktur yang masih sihat.
Crown menutupi gigi sepenuhnya, memberikan kekuatan dan kestabilan serta menghalang retakan daripada bertambah teruk. Ia diperbuat daripada bahan seperti porselin, seramik, atau logam, menjadikannya tahan lama dan mampu menahan tekanan ketika mengunyah. Walaupun crown merupakan penyelesaian yang baik untuk gigi retak, prosedur ini memerlukan doktor gigi membuang sebahagian struktur gigi bagi memastikan crown dapat dipasang dengan sempurna.
Rawatan Saluran Akar Gigi
Kesesuaian Rawatan: Rawatan ini sesuai untuk retakan dalam yang mencapai pulpa atau menyebabkan kesakitan akibat melibatkan saraf.
Jika retakan merosakkan pulpa, ia boleh menyebabkan jangkitan, yang seterusnya membawa kepada kesakitan dan pembengkakan yang teruk. Dalam kes seperti ini, rawatan saluran akar gigi mungkin diperlukan.
Semasa prosedur ini, doktor gigi akan mengeluarkan pulpa yang dijangkiti dan membersihkan bahagian dalam gigi. Gigi kemudian akan ditutup dengan bahan pengisi khas untuk mengelakkan jangkitan pada masa depan. Dalam banyak kes, selepas rawatan saluran akar, gigi perlu dipasangkan dengan crown untuk perlindungan dan kekuatan tambahan.
Rawatan saluran akar menghilangkan punca kesakitan dengan mengeluarkan tisu yang dijangkiti di dalam gigi. Ia juga menyelamatkan gigi, membolehkan gigi kekal di tempatnya daripada perlu diekstrak. Terapi saluran akar berkesan dalam merawat jangkitan dan menghalang ia merebak, menjadikannya penyelesaian yang tahan lama.
Pencabutan Gigi
Dalam sesetengah kes, retakan pada gigi mungkin terlalu teruk sehingga gigi tidak dapat diselamatkan. Pencabutan gigi menjadi satu-satunya pilihan untuk mengelakkan komplikasi lebih lanjut seperti jangkitan atau pembentukan abses. Biasanya, pencabutan diperlukan apabila gigi mengalami keadaan seperti:
- Terpecah kepada beberapa bahagian
- Mengalami kerosakan yang tidak dapat diperbaiki pada akar
- Mengalami jangkitan atau kerosakan yang teruk yang tidak dapat dirawat dengan cara lain
Pencabutan gigi sesuai untuk gigi yang mengalami retakan terbelah atau retakan akar vertikal yang tidak dapat dibaiki, atau gigi yang menyebabkan jangkitan teruk.
Jika gigi yang retak menyebabkan jangkitan atau abses, pencabutan dapat menghentikan jangkitan daripada merebak ke gigi atau tulang sekitarnya. Walaupun kehilangan gigi boleh menimbulkan kebimbangan, pencabutan kadang-kadang menjadi penyelesaian yang lebih cepat berbanding rawatan kompleks yang berterusan.
Setelah gigi dicabut, terdapat pelbagai pilihan untuk penggantian gigi, termasuk implan gigi, jambatan gigi, atau gigi palsu. Implan gigi sering menjadi pilihan utama untuk penggantian kekal kerana ia berfungsi seperti gigi semula jadi dan membantu mengekalkan integriti tulang rahang anda.
Merawatkan Gigi Retak Dengan Klinik Pergigian Dens Care
Jadi, bolehkah gigi retak diselamatkan? Jawapannya bergantung kepada jenis dan tahap keretakan. Sesetengah gigi retak boleh dibaiki dengan prosedur mudah seperti pengisian atau crown, manakala yang lain mungkin memerlukan rawatan lebih intensif seperti rawatan saluran akar atau bahkan pencabutan. Jika anda perasan tanda-tanda gigi retak, penting untuk segera berjumpa dengan doktor gigi untuk penilaian. Rawatan awal sering kali dapat menyelamatkan gigi dan mengelakkan komplikasi lebih serius di masa hadapan.
Menjaga gigi dengan baik—menghindari objek keras, memakai pelindung mulut jika perlu, dan menjalani pemeriksaan gigi secara berkala—boleh membantu mengurangkan risiko gigi retak. Jika anda mengalami gigi retak, jangan panik. Dengan penjagaan dan rawatan yang betul, banyak gigi retak boleh diselamatkan!





