Pernahkah anda lihat cermin, tersenyum, lalu nampak tanda, tompokan, atau titik hitam kecil pada gigi? Anda tidak keseorangan. Ramai orang bimbang tentang perkara ini, tertanya-tanya sama ada ia sekadar kesan kopi atau sesuatu yang lebih serius seperti karies. Hakikatnya, kesan hitam itu boleh membawa maksud berbeza dan mengetahui puncanya adalah langkah pertama untuk mengatasinya.
Apakah Bintik Hitam di Gigi Geraham?

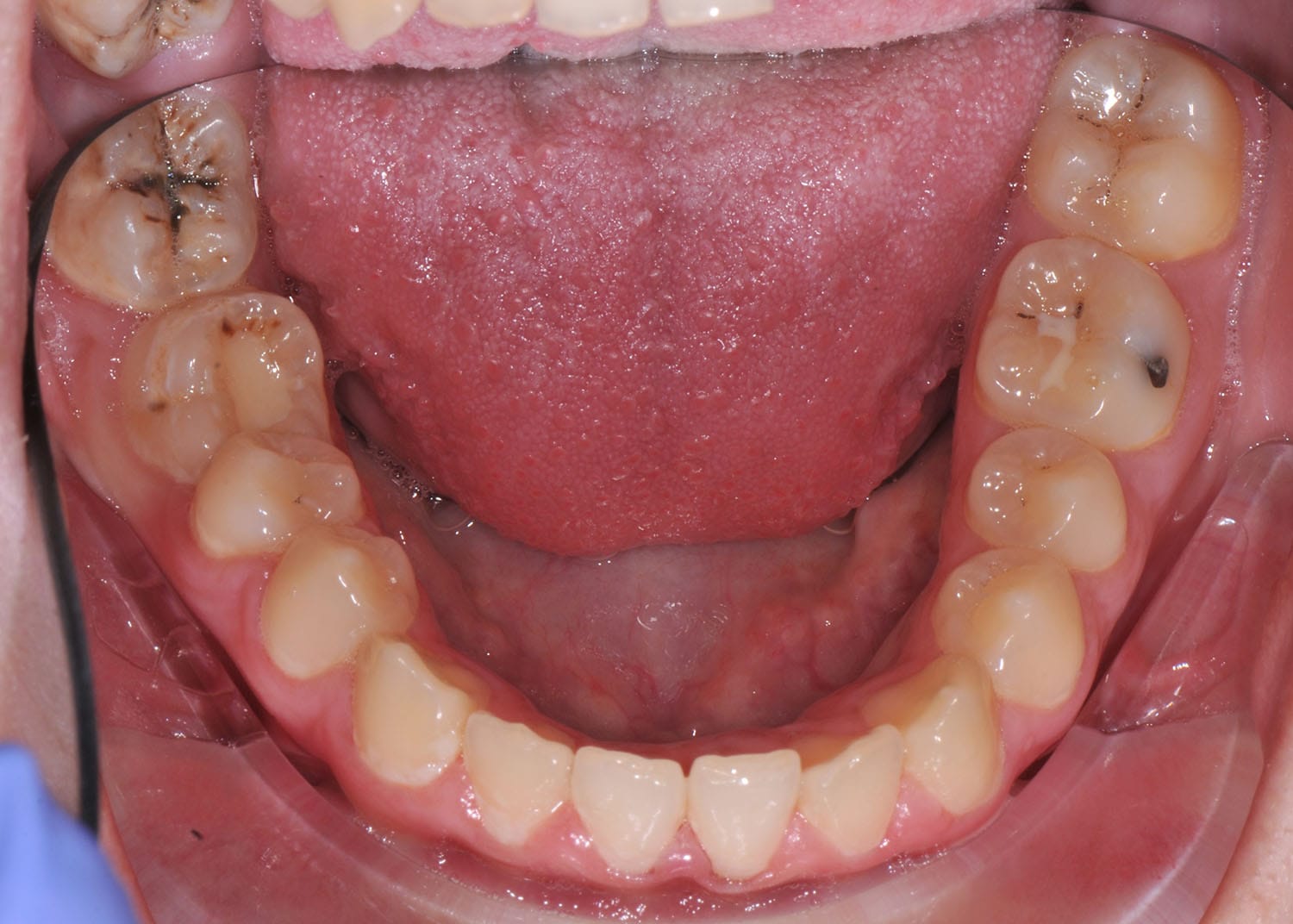
Gigi geraham berfungsi untuk mengunyah, menghancurkan makanan, dan menahan tekanan setiap hari. Tetapi kerana ia mempunyai lekuk dan celah yang dalam, ia juga menjadi tempat sesuai untuk sisa makanan dan bakteria berkumpul. Lama-kelamaan, ini boleh menyebabkan titik hitam kecil yang mudah kelihatan ketika anda memberus atau memeriksa gigi di cermin.
Jadi, apa sebenarnya titik hitam itu? Ia boleh jadi:
Karies awal (pereputan gigi) – Apabila bakteria menghakis enamel, ia boleh bermula sebagai titik kecil berwarna coklat atau hitam pada celah gigi. Jika tidak dirawat, ia akan menjadi lebih besar dan dalam.
Kesan kotoran permukaan – Jika anda gemar kopi, teh, atau wain merah, anda mungkin perasan betapa mudahnya minuman ini menggelapkan gigi. Merokok juga penyumbang besar, meninggalkan kesan tar yang degil dan sukar hilang dengan memberus gigi sahaja.
Plak yang bertukar jadi kalkulus (tartar) – Plak yang tidak dibersihkan akan mengeras menjadi kalkulus, yang biasanya kelihatan kuning atau coklat pada mulanya. Lama-kelamaan, ia boleh menyerap pigmen daripada makanan dan minuman, menjadikannya hitam terutama di bahagian tepi gusi.
Tampalan lama – Jika anda pernah buat rawatan pergigian, bahan seperti resin komposit boleh berubah warna dari masa ke masa dan kelihatan seperti “titik” baru.
Masalahnya ialah: pada pandangan mata kasar, kesan kotoran dan karies boleh kelihatan hampir sama.
Cara Bezakan Penyebab Plak Atau Bintik Hitam
Hanya doktor gigi boleh beri jawapan tepat, tetapi ada beberapa petunjuk yang mungkin membantu:
Sakit atau sensitif – Jika titik hitam itu karies, anda mungkin rasa ngilu bila makan manis, minum sejuk, atau ketika menggigit. Kotoran biasanya tidak menyebabkan rasa sakit.
Tekstur – Cuba gerakkan lidah atau floss perlahan di kawasan tersebut. Jika terasa kasar, melekit, atau seakan ada lubang kecil, ia mungkin pereputan. Permukaan yang rata dan licin lebih cenderung hanyalah kotoran.
Perubahan dari masa ke masa – Kesan kotoran biasanya kekal sama, manakala karies akan cepat kelihatan semakin gelap, besar, atau lebih jelas.
Walau bagaimanapun, tanda-tanda ini tidak selalu tepat. Kotoran boleh menutup karies di bawahnya, dan karies kadang-kadang tidak menyebabkan sakit sehinggalah ia menjadi lebih serius. Sebab itu doktor gigi menggunakan pemeriksaan klinikal dan kadangkala X-ray untuk lihat apa yang berlaku di bawah permukaan gigi.
Cara Hilangkan Kesan Hitam pada Gigi
Jadi, apa yang boleh anda lakukan jika senyuman anda sudah bertukar daripada cerah kepada bertompok? Rawatan yang sesuai bergantung pada punca kesan hitam tersebut.

Pembersihan
Ini selalunya langkah pertama. Doktor gigi menggunakan alat khas untuk membuang karang gigi dan menggilap kesan kotoran pada permukaan. Bagi ramai pesakit, rawatan ini sahaja sudah membuatkan gigi kelihatan lebih putih dengan ketara.
Pemutihan
Jika kotoran terlalu degil, rawatan pemutihan gigi mungkin disyorkan. Pemutihan di klinik boleh mencerahkan gigi dengan cepat, manakala kit pemutihan yang diberikan doktor gigi untuk digunakan di rumah memberi kesan lebih perlahan tetapi tetap berkesan.
Tampalan
Jika terdapat karies, tampalan adalah rawatan yang biasa disyorkan. Jika tampalan lama mula menggelapkan senyuman anda, doktor gigi boleh menggantikannya dengan tampalan berwarna gigi yang kelihatan lebih semula jadi.
Dalam sesetengah kes, titik hitam mungkin berkait dengan masalah pergigian yang lebih serius. Itulah sebabnya pemeriksaan berkala sangat penting—ia membantu mengesan masalah sebelum menjadi lebih besar (dan lebih mahal) untuk dirawat.
Penjagaan di Rumah untuk Elak Kesan Hitam dan Tompokan
Walaupun rawatan pergigian berkesan, pencegahan sentiasa lebih mudah. Beberapa tabiat ringkas boleh membantu mengekalkan gigi bebas daripada kesan hitam.
- Gosok gigi dua kali sehari dengan ubat gigi berfluorida.
- Floss setiap hari untuk membuang plak yang tersembunyi di antara gigi.
- Gunakan straw semasa minum kopi, teh, atau minuman bergas untuk kurangkan sentuhan dengan gigi.
- Kumur dengan air selepas minum minuman gelap atau snek bergula.
- Elakkan merokok, kerana kesannya antara yang paling sukar dihilangkan.
- Jangan lupa jumpa doktor gigi untuk pembersihan profesional setiap enam bulan.
Bila Perlu Jumpa Doktor Gigi
Jumpa doktor gigi segera jika:
- Tompokan hitam tidak hilang walaupun selepas memberus gigi.
- Anda perasan sakit, sensitif, atau terdapat lubang kecil pada gigi.
- Kotoran hitam muncul semula walaupun anda menjaga kebersihan mulut dengan baik.
Ingat, tompokan hitam kadangkala boleh menyembunyikan karies. Dan karies, jika dibiarkan, tidak akan sembuh dengan sendiri. Lebih cepat anda mendapatkan rawatan, lebih mudah (dan kurang sakit) proses pemulihannya.
Kenal Pasti Punca Plak Hitam dan Dapatkan Rawatan di Dens Care
Kunjungi Klinik Gigi Dens Care di Cheras

Melihat kesan hitam pada gigi memang boleh membuatkan anda bimbang, tetapi berita baiknya ialah kebanyakan kes boleh dirawat. Ada kalanya ia hanya masalah kosmetik, tetapi ada juga yang menjadi tanda awal kerosakan gigi. Apa pun puncanya, jangan biarkan ia berlarutan.
Gigi yang sihat dan bebas kotoran bukan sahaja membuatkan senyuman kelihatan cantik, tetapi juga memastikan gigi kekal kuat dan bebas sakit untuk jangka masa panjang. Kunjungi Klinik Pergigian Dens Care untuk mengetahui apa yang sebenarnya berlaku dan bagaimana untuk mendapatkan kembali senyuman cerah anda.





