Rasa ngilu yang tajam dan tiba-tiba bila minum air berais atau menggigit makanan manis? Itulah tanda gigi sensitif. Jutaan orang dewasa di seluruh dunia mengalaminya. Walaupun ia jarang berbahaya, gigi sensitif boleh membuatkan aktiviti harian seperti makan, minum, atau memberus gigi jadi tidak selesa. Lebih penting lagi, ia mungkin petanda ada masalah kesihatan gigi yang lebih serius. Berita baiknya, dengan penjagaan yang betul, masalah ini boleh dirawat dan dicegah daripada menjadi lebih teruk.
Apa Rasa Gigi Sensitif?
Kebiasaannya, gigi sensitif dirasai sebagai ngilu yang tajam tetapi cepat hilang. Ia bukan sakit berpanjangan, sebaliknya satu rasa menikam yang muncul bila gigi terdedah kepada pencetus seperti:
- Minuman sejuk (air berais, soda, smoothie)
- Makanan panas (kopi, sup, teh)
- Snek manis atau berasid (gula-gula, buah sitrus)
- Malah udara sejuk yang terkena pada gigi ketika menarik nafas
Rasa ngilu ini mungkin hanya berlangsung beberapa saat, tetapi jika ia kerap berlaku, pasti sukar diabaikan.
Punca Utama Gigi Sensitif
Apa sebenarnya yang berlaku dalam mulut bila gigi terasa sensitif? Kebanyakan kes berpunca daripada satu perkara: dentin (lapisan bawah enamel gigi) terdedah.
Dentin mengandungi tiub halus yang bersambung terus ke saraf gigi. Bila terdedah, makanan atau minuman panas, sejuk, atau manis boleh merangsang saraf ini dan menyebabkan rasa sakit. Namun puncanya boleh berbeza-beza:
Enamel haus

Memberus terlalu kuat, kerap makan makanan berasid, atau tabiat mengetap gigi ketika tidur boleh menipiskan enamel, iaitu lapisan pelindung gigi. Tanpanya, dentin jadi mudah terdedah.
Gusi menurun
Apabila gusi mula turun sama ada akibat penyakit gusi, faktor usia, atau cara memberus yang kasar, akar gigi akan terdedah. Berbeza dengan mahkota gigi, akar tidak dilindungi enamel, menjadikannya lebih sensitif.
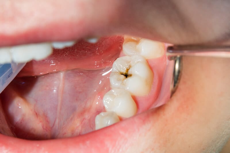
Karies dan gigi berlubang

Karies merosakkan enamel dan dentin, lalu membuka jalan terus ke saraf. Sebab itu, ngilu sering jadi tanda awal gigi berlubang.
Gigi retak atau sumbing
Retakan kecil mungkin sukar dilihat, tetapi cukup untuk mendedahkan dentin atau hingga ke pulpa gigi. Bila ini berlaku, setiap gigitan boleh menyebabkan rasa sakit yang tajam.
Tampalan haus atau rawatan gigi lama
Tampalan lama boleh longgar atau merekah, lalu membiarkan perubahan suhu sampai ke saraf gigi. Sesetengah rawatan gigi seperti pemutihan atau tampalan baru juga boleh menyebabkan sensitiviti sementara.
Faktor Risiko yang Memburukkan Sensitiviti Gigi
Tidak semua orang dengan enamel nipis atau gusi menurun akan mengalami tahap sensitiviti yang sama. Ada tabiat dan faktor kesihatan tertentu yang boleh menjadikannya lebih teruk, antaranya:
- Kebersihan mulut yang kurang baik menyebabkan plak terkumpul dan masalah gusi.
- Pemakanan tinggi makanan atau minuman berasid seperti buah sitrus, cuka, atau soda mempercepatkan hakisan enamel.
- Tabiat mengetap gigi menghauskan enamel dan menambah tekanan pada gigi.
- Penyakit gusi dan merokok mempercepatkan penurunan gusi.
Faktor umur juga memainkan peranan. Orang dewasa berusia antara 20 hingga 50 tahun paling kerap mengalami gigi sensitif, walaupun ia boleh berlaku pada apa-apa usia.
Bagaimana Doktor Gigi Mendiagnosis Gigi Sensitif
Kalau anda tertanya-tanya sama ada gigi anda sekadar “lemah” atau ada masalah lain yang lebih serius, lawatan ke doktor gigi adalah cara terbaik untuk mengetahuinya. Doktor gigi akan:
- Memeriksa sama ada terdapat karies, keretakan, atau tampalan haus.
- Menilai keadaan gusi untuk tanda-tanda penurunan atau penyakit gusi.
- Mengambil X-ray jika perlu untuk menolak masalah lebih dalam seperti jangkitan atau abses.
Langkah ini penting kerana apa yang dirasakan sebagai sensitiviti biasa mungkin sebenarnya berpunca daripada gigi berlubang atau keradangan saraf. Mendapatkan diagnosis yang tepat ialah langkah pertama untuk melegakan masalah dengan berkesan.
Pilihan Rawatan: Cara Mengatasi Gigi Sensitif
Bahagian terbaik tentang gigi sensitif? Ia hampir selalu boleh dirawat. Kaedah rawatan bergantung kepada punca sensitiviti—sama ada enamel haus, gusi menurun, atau masalah pergigian lain. Dalam kebanyakan kes, doktor gigi biasanya mencadangkan rawatan mudah di rumah terlebih dahulu sebelum beralih kepada rawatan profesional. Mari kita pecahkan satu per satu.
Penjagaan di Rumah

- Bertukar kepada ubat gigi desensitizing
Ubat gigi jenis ini mengandungi bahan seperti potassium nitrat atau stannous fluoride yang menenangkan saraf dalam gigi. Ia bukanlah berkesan serta-merta, anda perlu konsisten selama beberapa minggu sebelum rasa lega yang ketara muncul. Tetapi untuk ramai orang, ini sudah cukup membantu mengurangkan rasa ngilu daripada minuman sejuk atau ketika memberus. - Gunakan berus gigi berbulu lembut
Bulu keras mungkin terasa seperti membersih lebih baik, tetapi sebenarnya ia menghauskan enamel dan menolak gusi ke bawah. Berus lembut dengan gerakan bulat yang perlahan lebih selamat dan sama berkesan. - Berkumur dengan ubat kumur berfluorida
Fluorida menguatkan enamel dan menjadikan gigi lebih tahan terhadap hakisan asid. Kumur harian dengan fluorida membentuk lapisan pelindung pada dentin yang terdedah, sekali gus mengurangkan sensitiviti dari masa ke masa. - Jaga tabiat harian anda
Elakkan memberus gigi sejurus selepas makan makanan berasid kerana enamel lebih lembut pada waktu itu. Jika anda mengetap gigi ketika tidur, pertimbangkan penggunaan pelindung gigi (mouthguard). Perubahan kecil dalam gaya hidup seperti ini boleh mencegah kerosakan berterusan.
Rawatan Klinik Pergigian
Jika penjagaan di rumah tidak mencukupi, doktor gigi mempunyai pilihan rawatan yang lebih kuat untuk menangani punca sebenar.
- Sapuan varnis atau gel fluorida
Disapu terus pada kawasan sensitif, varnis fluorida membentuk lapisan perlindungan pekat. Ia menguatkan enamel dan menutup saluran dentin yang bersambung dengan saraf. Rawatan ini cepat, boleh diulang setiap beberapa bulan, dan sangat berkesan. - Rawatan bonding gigi
Untuk gigi dengan akar terdedah, retakan, atau enamel yang haus, bonding boleh jadi penyelesaian. Doktor gigi akan menyapu resin berwarna gigi pada kawasan sensitif sebagai perisai pelindung. Ia bukan sahaja mengurangkan rasa sakit tetapi juga memperbaiki penampilan. Prosedur ini biasanya siap dalam satu sesi dan tahan bertahun-tahun dengan penjagaan yang betul. - Pembedahan pemindahan gusi (gum graft)
Apabila gusi menurun hingga menampakkan akar gigi, kadangkala pembedahan adalah satu-satunya jalan. Dalam prosedur ini, tisu diambil dari lelangit atau sumber penderma, kemudian dilekatkan pada kawasan gusi yang menurun. Ia adalah prosedur rutin dan berkesan. Pesakit biasanya bukan sahaja kurang rasa ngilu, malah mendapat perlindungan lebih baik terhadap masalah gusi di masa depan. - Rawatan akar gigi
Jika sensitiviti sangat teruk akibat pereputan dalam atau kerosakan saraf, rawatan akar gigi mungkin pilihan terakhir. Prosedur ini membuang pulpa gigi yang rosak, membersihkan saluran, dan menutupnya untuk mencegah jangkitan. Walaupun rawatan akar gigi sering digeruni, teknik moden menjadikannya jauh lebih selesa berbanding yang disangka. Untuk ramai pesakit, inilah rawatan kekal yang benar-benar mengakhiri sakit gigi.
Bila Perlu Jumpa Doktor Gigi
Jika sakit berlarutan. Kebanyakan orang dengan gigi sensitif hanya merasa ngilu singkat yang cepat hilang. Tetapi jika rasa sakit berterusan lebih lama daripada beberapa saat selepas pencetus hilang, itu mungkin tanda masalah yang lebih serius—seperti karies, gigi retak, atau keradangan saraf.
Jika sensitiviti semakin teruk. Gigi jarang tiba-tiba jadi “terlalu sensitif” tanpa sebab. Jika anda perasan ngilu ringan kini berubah menjadi sakit yang mencucuk kuat, itu petanda untuk berjumpa doktor gigi sebelum keadaan bertambah teruk.
Jika ada gejala lain. Gusi bengkak atau berdarah, nafas berbau yang tidak hilang, atau perubahan yang jelas seperti gusi semakin menurun boleh jadi tanda penyakit gusi atau jangkitan. Masalah ini bukan sahaja menyebabkan sensitiviti, tetapi juga boleh menjejaskan kesihatan mulut secara keseluruhan jika dibiarkan.
Dapatkan Rawatan Gigi Sensitif di Klinik Pergigian Dens Care
Kunjungi Klinik Gigi Dens Care di Cheras

Gigi sensitif mungkin nampak seperti masalah kecil, tetapi sebenarnya boleh menjadi tanda isu yang lebih besar seperti penyakit gusi, karies, atau kehilangan enamel. Di Klinik Pergigian Dens Care,doktor gigi kami boleh mengenal pasti punca sebenar sensitiviti dan menyediakan pelan rawatan yang disesuaikan khas untuk anda.
Sama ada anda memerlukan rawatan fluoride yang ringkas, perlindungan melalui bonding, atau panduan pakar untuk penjagaan harian, pasukan kami sedia membantu memulihkan keselesaan anda dan melindungi senyuman anda untuk jangka masa panjang.





